HOME
뉴스
정치
경제
사회
TV
라지오
생방송
스포츠
드론영상
뉴스
정치
|
경제
|
사회
|
문화
|
백성열선
|
국내외
|
특집
|
라지오
|
中文版
首页
>
新闻
>
社会 사회
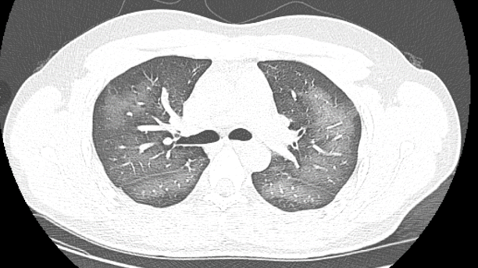
주의: 절대 함부로 사용하지 마세요, “백색페증” 위험 상승!
주의: 절대 함부로 사용하지 마세요, “백색페증” 위험 상승!
图文
2023-08-07 15:45
중국조선어방송넷
[날씨] 이번 주 내내 비소식, 주의할 점은?
[날씨] 이번 주 내내 비소식, 주의할 점은?
图文
2023-08-07 15:29
연변라지오TV넷 연변방송APP
[알림!] 휴대폰에서 기상재해 조기경보 알림 서비스 켜는 방법
최근 강한 강우 영향으로 우리 주 부분적 현(시)가 재해를 입었다. 재해에 대한 백성들의 방범의식을 높이고 제때에 주의보 정보를 받을 수 있도록 하기 위해 연변주응급관리국은 광범한 인민대중이 핸드폰의 '극단적인 기상재해 조기...
图文
2023-08-07 10:54
연변라지오TV넷 연변방송APP
[네티즌 반영] 공용주차자리에 주차 방지기를 설치했습니다. 해결해주세요!
최근 한 네티즌이 연변방송APP 백성열선 플랫폼을 통해 다음과 같이 반영했다."장백산 서로 신풍주유소 맞은켠 상점 문앞의 공용주차자리에 어떤 분이 사사로이 주차 방지기를 설치해 놓았습니다. 관련 부문에서 해결해주세요."이에 ...
图文
2023-08-07 10:53
연변라지오TV넷 연변방송APP
한국주재 중국대사관, 주의보 발부... "사람 많은 장소 주의할 것!"
최근 한국에서 무차별 칼부림 사건이 여러건 발생해 많은 사상자가 발생했고 인터넷에서는 또 무차별 살인예고까지 올라왔다. 8월 5일 한국주재중국대사관은 "재한 중국 공민들께서 안전방범에 주의돌리기 바란다"는 내용의 주의보를 발부했다. 구체 내용은 다음과 같다.
图文
2023-08-07 10:31
연변라지오TV넷 연변방송APP
[좋은 소식] 연길 두개의 신축 공립유치원, 하반년에 개원!
[좋은 소식] 연길 두개의 신축 공립유치원, 하반년에 개원!
图文
2023-08-07 10:14
연변라지오TV넷 연변방송APP
[네티즌 반영] 수상시장 앞길 교통 정체가 심합니다!
최근 한 네티즌이 연변방송APP를 통해 다음과 같이 자문했다."수상시장 앞 도로는 매일 아침 출근 고봉기에 매우 정체되고 외지 차량도 도로옆에 주차되여 있어 교통에 심각한 영향을 끼칩니다. 관련 부문에서 교통 정리를 해줄 수...
图文
2023-08-07 09:45
연변라지오TV넷 연변방송APP
고기 먹을 때 마늘을 먹지 않으면 영양이 ‘반감’된다?
‘고기를 먹을 때 마늘을 먹지 않으면 풍미가 반감된다’는 말이 있다. 그러나 사실 고기를 먹을 때 생마늘을 곁들이면 풍미가 증강될 뿐만 아니라 고기의 영양가를 높일 수 있다.살고기에는 비타민 B1이 풍부하게 들어있만 비타민 ...
图文
2023-08-07 09:20
인민넷 조문판
아동 ‘과학장난감’에 도사리고 있는 안전위험 주의해야!
최근 아동 ‘과학장남감’가 시장에서 빠르게 인기를 얻으며 인기 있는 신흥과학 ‘왕훙장난감’이 되였다. 하지만 기자는 며칠간의 탐방을 통해 일부 제품에 잠재적인 안전위험이 있음을 발견했다.‘과학장난감’ 시장에서 인기한 문구점에...
图文
2023-08-07 08:50
인민넷 조문판
유연성 취업 인원은 어떻게 온라인으로 퇴직수속을 밟을 수 있을가?
퇴직소재지 인력자원사회보장국 공식 홈페이지에 로그인하여 ‘퇴직 일괄처리(退休打包一件事)’ 등 키워드를 찾은 후 제시에 따라 신청을 제출하면 된다.방법 2
图文
2023-08-06 15:31
인민넷 조문판
‘신분증+은행카드’로 ‘제3세대 신분증’을 만들 수 있다? 사기!
출처를 알 수 없는 위챗그룹, 문자메시지, 전화 등을 경솔하게 믿지 말고 개인 신분증과 관련 개인정보를 잘 보관하며 신분증, 은행카드를 매매하는 등 불법범죄행위를 발견하면 즉시 110에 전화를 걸어 공안기관에 신고해야 한다.
图文
2023-08-06 14:56
인민넷 조문판
2023년 철도 여름방학운수 인기도시는?
철도 여름방학운수가 7월 1일 막을 올렸다. 7월 31일까지 절반의 시간이 지났는데 현재까지 철도12306은 모두 몇장의 기차표를 판매했을가
图文
2023-08-06 09:48
인민넷 조문판
[영상뉴스]기술혁신으로 우리 주 인삼산업 발전에 조력
02:10
[영상뉴스]기술혁신으로 우리 주 인삼산업 발전에 조력
视频
2023-08-05 22:40
연변라지오 TV 넷 연변뉴스APP
[영상뉴스]원림록화보호일군들 땀방울로 도시의 록색 수호
02:32
[영상뉴스]원림록화보호일군들 땀방울로 도시의 록색 수호
视频
2023-08-05 22:39
연변라지오 TV 넷 연변뉴스APP
[영상뉴스]연길시공안국, 메이퇀회사와 합작협의 체결
01:22
[영상뉴스]연길시공안국, 메이퇀회사와 합작협의 체결
视频
2023-08-05 22:38
연변라지오 TV 넷 연변뉴스APP
475
476
477
478
479
前往
页