자외선 차단 스프레이는
최근 몇년간 인터넷에서 크게 인기를 모았다.
호남성 장사시의 한 젊은이는
스프레이를 한번 뿌린 것이
이렇게 큰 문제를 야기할 줄은
전혀 생각지 못했다고 말했다!
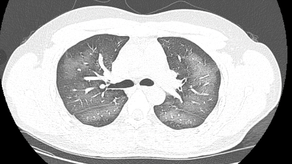
장사시의 20살 청년 리림(가명)은 외출하기 전에 자외선 차단 스프레이를 사용했는데 얼굴에 살포할 때 부주의로 코로 흡입했다. 바로 가슴이 답답해나고 기침 증세가 나타났다. 증상이 이튿날까지 계속되면서 호전을 보이지 않자 그는 급히 호남성 장사시 제3병원을 찾아 진료를 받았다. 검사 결과, 페 CT 영상에서 뚜렷한 넓은 범위의 흰색 모양 병변을 볼 수 있었고 보고서에는 “백색페증"이라는 진단이 적혀 있었다.


“백색페증”은 일반적으로 중증페염이 X선이나 CT검사에서 나타나는 것을 말하는데 환자의 페부는 넓은 흰색 상태를 보이고 흔히 호흡곤란, 호흡부전이 나타나며 엄중한 경우에는 기타 장기기능 장애도 나타난다.
자외선 차단 스프레이를
뿌렸을 뿐인데 페가 손상되다니?
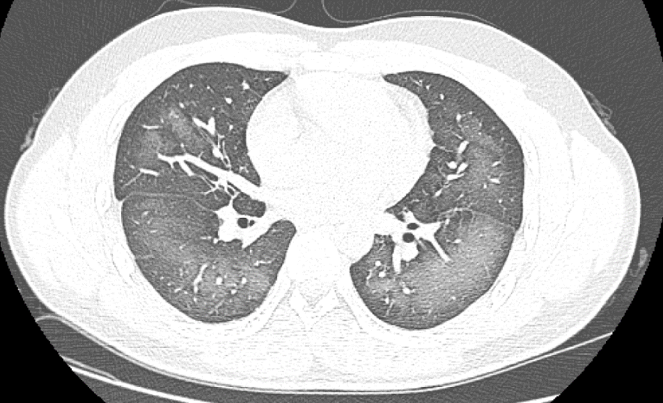
장사시 제3병원 방사선영상과 진료의는, 감염, 확산성 페포출혈증후군 등 "백색페증"의 가장 흔한 병인 외에 분진, 분무 등 유해물질을 흡입할 경우 페부에 넓은 범위의 흰색모양의 병리변화가 나타날 수 있다고 밝혔다. 젊은 환자는 부적절한 사용으로 인해 자외선 차단제의 일부를 페로 흡입해 "백색페증"이 발생했다. 응급실 의사가 산소 흡입, 가래 제거, 감염 저항 등 관련 치료를 실시한 후 환자의 증상은 뚜렷이 개선되였다.
스타들의 잘못된 시범!




사실 자외선 차단 스프레이의 인기는스타들의 홍보와도 관계된다.그러나 그들의 시범은 잘못된 것이다!자외선 차단 스프레이의부적절한 사용 사례는 드물지 않다. 지난해 심양의 한 아빠가 외출하기 전에 아이에게 자외선 차단 스프레이를 뿌렸는데실수로 화재 사고가 발생했다.아이가 한창 라이터를 갖고노는 것을 보지 못하고자외선 차단 스프레이를 뿌린 결과삽시에 불길이 일었다.

자외선 차단제를 사용한 후,
알레르기 또는 기타 신체적 불편이 있을 경우
즉시 사용을 중단하고
제때에 병원을 찾아야 한다!
연변라지오TV넷 연변방송APP
출처: 중국조선어방송넷