최근 광동 심수의
녀자아이 효월(가명)은 고열이 잦았다.
부모는 75%의 알콜로 닦아주고
물찜질을 여러번 해주었다.
아이는 급성 알콜 중독에 걸렸고
심한 대사성 산중독 뇌기능 손상으로
중환자실 (ICU)에 입원해 관심을 모았다.

아이가 고열을 반복하자
부모는 75% 알콜로 닦아주고 물찜질 해줘
이날 저녁, 5살이 다 된 효월(가명)은 고열이 반복되여 나타났고 해열제를 먹어도 효과가 없었다. 급한 부모는 고향에서 전해 내려온 민간료법인 “알콜 닦기”를 떠올렸다.
그들은 집에 있던 75%의 알콜 스프레이를 솜에 뿌려 아이의 이마, 겨드랑이, 배 등에 발라주고 솜으로 몸과 팔다리를 닦아줬다.
아이의 체온이 올라가면 그들은 알콜로 몸을 닦아주었다. 그렇게 하루종일 했지만 효월은 고열이 내려가지 않았으며 네다섯번이나 구토까지 했다. 아이의 얼굴은 창백했고 오줌이 적었으며 온몸은 축 늘어져 있었다. 부부는 급급히 아이를 데리고 심수아동병원으로 갔다.
효월은 체액을 보충하고 치료하는 과정에 점차 졸음이 몰려오고 의식이 흐릿해졌으며 두눈을 뒤집고 응시하는 등 증상이 나타나더니 나중에는 혼수상태에 빠졌다.
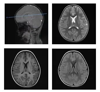
응급치료를 받은 후 효월은 중환자실 (PICU)로 옮겨졌다. 검사 결과, 효월은 급성 알콜 중독과 심한 대사성 산중독, 대뇌 기능 손상 등 진단을 받았다.

이틀 동안 치료한 후 효월은 드디여 정신을 차렸고 1주일 뒤 신경내과로 옮겨져 재활치료를 계속했다. 최근 재검사에서, 효월은 말이 느린 것 외에는 별다른 문제가 없었다.
“알콜로 몸을 닦아 열을 내리게 하는 방법이이렇게 위험한 줄 몰랐어요!”
그나마 다행이다.
이런 알콜 해열 방식으로인명사고가 발생한 적도 있다.

무엇때문에 알콜로 몸을 닦아
열을 식히는 것을 건의하지 않는가?
의사는
“알콜은 휘발되면서 확실히 열량을 가져갑니다.
하지만 휘발되지 않는 부분은
아이의 피부로 들어가고
어느 정도 량이 축적되면
급성 알콜중독을 초래할 수 있습니다.
심할 경우
호흡곤란을 일으킬 수 있으며
사망할 수도 있습니다.”
라고 주의를 줬다.
연변라지오TV넷 연변방송APP
출처: 중국조선어방송넷